Eine Zahnfleischentzündung (Gingivitis) gehört zu den häufigsten Erkrankungen im Mundraum – und wird oft unterschätzt. Besonders Erwachsene und Menschen mit bestimmten Risikofaktoren, wie schlechter Mundhygiene oder bestimmten Erkrankungen, sind häufig betroffen. Es gibt verschiedene Formen der Zahnfleischentzündung, wie akute, chronische oder ulzeröse Ausprägungen, die unterschiedlich behandelt werden müssen.
Die Zahnfleischentzündung ist eine ernstzunehmende Krankheit und zählt zu den wichtigsten Zahnfleischerkrankungen. Unbehandelt kann sie Schmerzen verursachen, die Ästhetik beeinträchtigen und im schlimmsten Fall in eine Parodontitis übergehen, die zum Zahnverlust führen kann. Umso wichtiger ist eine frühzeitige Diagnose und die richtige Behandlung beim Zahnarzt.
Was ist eine Zahnfleischentzündung?
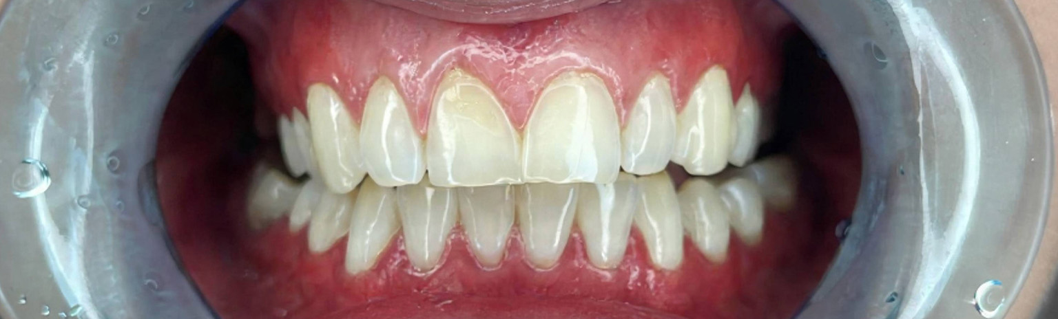
Bei einer Zahnfleischentzündung handelt es sich um eine entzündliche Reaktion des Zahnfleisches, das in der Fachsprache als Gingiva bezeichnet wird. Die Hauptursache für eine Zahnfleischentzündung sind bakterielle Beläge (Plaque), die sich aus einer Substanz zusammensetzen, die Speichel, Bakterien und Essensreste enthält. Diese Substanz bildet einen filmartigen Belag auf den Zahnflächen, insbesondere am Übergang zwischen Zahn und Zahnfleisch, dem sogenannten Zahnfleischsaum. Die Beläge und Ablagerungen lagern sich bevorzugt am Zahnfleischsaum und auf den Zahnflächen ab und reizen dort das Gewebe. Bleibt dieser Belag bestehen, kann er sich verhärten und zu Zahnstein werden, der nur professionell entfernt werden kann.
Typische Symptome einer Zahnfleischentzündung
Viele Patientinnen und Patienten bemerken eine Gingivitis erst spät. Zu den häufigsten Symptomen und Beschwerden zählen:
- rotes, geschwollenes Zahnfleisch
- empfindliches oder schmerzhaftes Zahnfleisch
- Schmerzen, Rötungen und Schwellungen an bestimmten Stellen oder Bereichen des Zahnfleischs
- Zahnfleischbluten (z. B. beim Zähneputzen) – bereits etwas Blut kann auf eine Zahnfleischentzündung hindeuten
- schlechter Atem (Halitosis) bzw. Mundgeruch, der häufig zusammen mit anderen Beschwerden auftritt
- Zahnfleischrückgang im Verlauf
Probleme können an verschiedenen Stellen oder Bereichen im Mund auftreten, etwa am Zahnfleisch, an der Zunge oder in den Mundwinkeln. Treten diese Symptome oder Beschwerden auf, sollte der Zahnarzt rasch aufgesucht werden, um Folgeschäden zu vermeiden.
Diagnose: Wie wird eine Zahnfleischentzündung festgestellt?
Die Diagnose einer Zahnfleischentzündung (Gingivitis) erfolgt in der Regel durch eine sorgfältige Untersuchung beim Zahnarzt. Dabei wird das Zahnfleisch auf typische Anzeichen wie Rötungen, Schwellungen und Blutungen überprüft – besonders dann, wenn beim Zähneputzen oder bei der Anwendung von Zahnseide Blutungen auftreten. In manchen Fällen werden ergänzend Röntgenaufnahmen angefertigt, um den Zustand von Kieferknochen und Zahnwurzeln zu beurteilen. Eine frühzeitige Diagnose ist entscheidend, um schwerwiegende Folgen wie Parodontitis und Zahnverlust zu verhindern und die Gesundheit der Zähne langfristig zu sichern.

Ursachen: Wie entsteht eine Gingivitis?
Die Hauptursache ist bakterieller Zahnbelag – jedoch spielen weitere Faktoren eine Rolle, darunter:
- unzureichende Mundhygiene
- Rauchen und Nikotinkonsum
- hormonelle Veränderungen (z. B. Schwangerschaft)
- Stress
- Vitaminmangel (z. B. Vitamin C)
- schief stehende Zähne oder Zahnfehlstellungen
- schlecht sitzende Zahnspangen oder Zahnersatz
- systemische Erkrankungen wie Diabetes mellitus
Zu den wichtigsten Risikofaktoren für eine Zahnfleischentzündung zählen allem Rauchen, Stress, schlechte Ernährung, Diabetes und ein geschwächtes Immunsystem. Zuckerhaltige Speisen und Getränke fördern das Wachstum von Bakterien im Mund und begünstigen so die Entstehung von Entzündungen. Viel Trinken, vor allem Wasser, hält die Mundschleimhaut feucht und wirkt vorbeugend.
Zahnfleischentzündungen können im Frühstadium schmerzfrei verlaufen und bleiben daher oft unbemerkt. Eine Zahnfleischentzündung kann von selbst zurückgehen, aber auch andauern und sich ausweiten. Bleibt sie unbehandelt, kann sie sich zur Parodontitis entwickeln – einer schwereren Entzündung des Zahnhalteapparats. Dabei kann die Entzündung auf die Zahnhälse und die Zahnwurzel übergreifen, was zu freiliegenden Zahnhälsen, Wackelzähnen und sogar Zahnausfall führen kann.
Regelmäßige zahnärztliche Untersuchungen, eine gründliche Zahnpflege und konsequente Zahnhygiene sind entscheidend, um Zahnfleischentzündungen und Parodontitis vorzubeugen.
Insgesamt gibt es eine Vielzahl von Ursachen und begünstigenden Faktoren – allem Bakterien, Risikofaktoren, Medikamente, hormonelle Veränderungen und Co –, die das Risiko für eine Zahnfleischentzündung beeinflussen können.
Warum eine Zahnfleischentzündung ernst genommen werden sollte
Unbehandelt kann die Gingivitis in eine Parodontitis übergehen. Dabei entzündet sich nicht nur das Zahnfleisch, sondern auch der Zahnhalteapparat. Eine unbehandelte Zahnfleischentzündung kann sich zudem zu einer Zahnbettentzündung entwickeln, einer chronischen, entzündlichen Erkrankung, die den zahnstützenden Apparat zerstört und häufig als Folge akuter Zahnfleischentzündungen auftritt. Langfristige Folgen können sein:
- Knochenabbau
- Zahnlockerung
- Zahnverlust
Studien zeigen zudem Zusammenhänge zu allgemeinen Gesundheitsrisiken, etwa Herz-Kreislauf-Erkrankungen oder Stoffwechselproblemen.
Parodontitis und Zahnfleischentzündung – Unterschiede & Zusammenhänge
Zahnfleischentzündung (Gingivitis) und Parodontitis sind zwei eng verwandte, aber unterschiedliche Erkrankungen des Zahnhalteapparats. Während die Gingivitis eine Entzündung des Zahnfleisches ist, die meist durch bakterielle Zahnbeläge (Plaque) am Zahnfleischrand ausgelöst wird, betrifft die Parodontitis das tieferliegende Gewebe und den Kieferknochen. Bleibt eine Zahnfleischentzündung unbehandelt, kann sie sich zu einer Parodontitis entwickeln – einer schwerwiegenden Erkrankung, die den Zahnhalteapparat schädigt und im schlimmsten Fall zu Zahnverlust führt. Die beste Vorbeugung gegen beide Erkrankungen ist eine konsequente Mundhygiene, regelmäßige Entfernung von Zahnbelägen und eine ausgewogene Ernährung. So kann das Risiko für Entzündungen und deren Folgen deutlich reduziert werden.
Zahnfleischentzündung vorbeugen – so geht’s

Eine Gingivitis lässt sich in vielen Fällen vermeiden. Eine gründliche Zahnhygiene und regelmäßige Zahnpflege sind entscheidend, um Zahnfleischentzündungen vorzubeugen. Dazu gehören:
- regelmäßiges Zähneputzen (mind. 2× täglich) mit einer geeigneten Zahnbürste, um Zahnbelag effektiv von allen Zahnflächen zu entfernen
- sorgfältige Reinigung der Zahnzwischenräume mit Zahnseide oder Interdentalbürsten, um Bakterienansammlungen vorzubeugen
- professionelle Zahnreinigung (mind. 1–2× pro Jahr)
- zahngesunde, zuckerarme Ernährung zur Reduktion des Karies- und Entzündungsrisikos
- regelmäßige zahnärztliche Untersuchungen zur frühzeitigen Erkennung und Behandlung von Problemen
Besonders wichtig: Frühzeitig handeln, bevor Schäden entstehen.


