Zahnfleischentzündung: Ursachen, Symptome & Behandlung
Eine Zahnfleischentzündung (Gingivitis) gehört zu den häufigsten Erkrankungen im Mundraum – und wird oft unterschätzt....
Entdecken Sie aktuelle Entwicklungen, spannende Praxisberichte und fundierte Expertenwissen rund um moderne Zahnästhetik
Eine Zahnfleischentzündung (Gingivitis) gehört zu den häufigsten Erkrankungen im Mundraum – und wird oft unterschätzt....
Ein strahlend weißes Lächeln gilt als Symbol für Gesundheit, Attraktivität und Selbstbewusstsein. Weiße Zähne sind...
Was hinter schlechtem Atem steckt und wie Sie ihn dauerhaft loswerden Mundgeruch ist ein weitverbreitetes...
Alles, was Sie über Vorderzähne wissen müssen – Bedeutung, Schutz und Behandlungen Die Schneidezähne sind...
Alles, was Sie über Zahnstein wissen müssen – Vorbeugung, Behandlung und Tipps für gesunde Zähne...
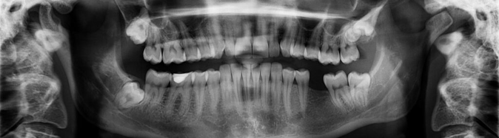
Alles, was Sie über Weisheitszähne wissen müssen: Ursachen, Beschwerden, Behandlung und Pflege Weisheitszähne sind für...
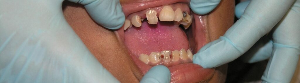
Karies verstehen, vorbeugen und behandeln: Der umfassende Leitfaden für Ihre Zahngesundheit Karies gehört weltweit zu...
Rufen Sie uns gerne an oder buchen Sie gleich online Ihren Wunschtermin.
Sie sehen gerade einen Platzhalterinhalt von Instagram. Um auf den eigentlichen Inhalt zuzugreifen, klicken Sie auf die Schaltfläche unten. Bitte beachten Sie, dass dabei Daten an Drittanbieter weitergegeben werden.
Mehr InformationenSie sehen gerade einen Platzhalterinhalt von TrustIndex. Um auf den eigentlichen Inhalt zuzugreifen, klicken Sie auf die Schaltfläche unten. Bitte beachten Sie, dass dabei Daten an Drittanbieter weitergegeben werden.
Mehr InformationenSie müssen den Inhalt von reCAPTCHA laden, um das Formular abzuschicken. Bitte beachten Sie, dass dabei Daten mit Drittanbietern ausgetauscht werden.
Mehr Informationen