Karies verstehen, vorbeugen und behandeln: Der umfassende Leitfaden für Ihre Zahngesundheit
Karies gehört weltweit zu den häufigsten Zahnerkrankungen. Fast jeder Mensch ist im Laufe seines Lebens davon betroffen – doch was genau steckt hinter Karies, wie entsteht sie, und was können Sie tun, um Ihre Zähne langfristig zu schützen? In diesem umfassenden Ratgeber erhalten Sie alle wichtigen Informationen zu Ursachen, Symptomen, Prävention und modernen Behandlungsmethoden.
Was ist Karies?
Karies ist eine Erkrankung der Zähne, die durch den Abbau von Zahnhartsubstanz entsteht. Karies, auch bekannt als Zahnfäule oder Zahnkaries, ist eine der häufigsten Zahnerkrankungen weltweit. Sie wird durch Bakterien im Mund verursacht, insbesondere durch Streptococcus mutans. Diese Bakterien wandeln Zucker aus der Nahrung in Säure um, die den Zahnschmelz angreift und sukzessive zerstört. Dieser Prozess, der oft als Karies bezeichnet wird, führt zur Zerstörung der Zahnhartsubstanz. Bleibt Karies unbehandelt, kann sie tiefer in den Zahn eindringen und schließlich das Zahnmark (Pulpa) erreichen, was zu starken Schmerzen und Komplikationen führen kann.
Definition und Erklärung
Karies ist eine bakterielle Infektion, die durch die Zersetzung von Zahnsubstanz entsteht. Sie ist eine der häufigsten Zahnerkrankungen weltweit und kann zu Schmerzen, Infektionen und sogar zum Verlust der Zähne führen, wenn sie nicht behandelt wird. Karies entsteht durch die Umwandlung von Zucker in Säure durch Bakterien im Zahnbelag, die den Zahnschmelz angreifen und schwächen. Diese Säuren führen zur Demineralisierung des Zahnschmelzes und schaffen so die Grundlage für die Entstehung von Löchern in den Zähnen. Ohne rechtzeitige Behandlung kann die Karies tiefer in die Zahnsubstanz eindringen und schwerwiegendere Schäden verursachen.
Wie entsteht Karies? – Die Ursachen im Detail: Zahnbelag
Die Entstehung von Karies ist ein Zusammenspiel aus verschiedenen Faktoren:
- Bakterien im Mund: Jeder Mensch hat Bakterien im Mund, die sich von Zucker ernähren und dabei Säuren produzieren. Diese Säuren greifen den Zahnschmelz an. Dies führt zur Demineralisierung des Zahnschmelzes und schließlich zur Schädigung des gesamten Zahnes.
- Zuckerhaltige Ernährung: Zucker ist der Hauptnährstoff für kariesverursachende Bakterien. Besonders problematisch sind klebrige oder häufig konsumierte süße Lebensmittel wie Bonbons, Softdrinks oder Gebäck.
- Ungenügende Mundhygiene: Ohne regelmäßiges und gründliches Zähneputzen können Zahnbeläge (Plaque) entstehen, in denen sich Bakterien ansiedeln und vermehren.
- Schwacher Zahnschmelz: Einige Menschen haben genetisch bedingt schwächeren Zahnschmelz, was die Zähne anfälliger für Karies macht. Auch Säuren aus Softdrinks oder sauren Speisen können den Zahnschmelz schädigen.
Risikofaktoren: Zucker dient als Hauptnahrungsquelle für die Bakterien im Zahnbelag, die Säuren produzieren und den Zahnschmelz angreifen. Diese Säuren können den Zahnschmelz durchdringen und die tieferen Schichten des Zahns erreichen, was zu ernsthaften Schäden führt.
Risikofaktoren

Die wichtigsten Risikofaktoren für Karies sind mangelnde Mundhygiene, unzureichende Zahnreinigung und eine ungesunde Ernährung. Menschen, die regelmäßig zuckerhaltige Getränke und Nahrungsmittel konsumieren, haben ein höheres Risiko, an Karies zu erkranken. Zucker dient als Hauptnahrungsquelle für die Bakterien im Zahnbelag, die Säuren produzieren und den Zahnschmelz angreifen. Darüber hinaus können genetische Faktoren eine Rolle spielen, da einige Menschen von Natur aus schwächeren Zahnschmelz haben. Eine unzureichende Fluoridversorgung kann ebenfalls das Risiko für Karies erhöhen, da Fluorid den Zahnschmelz stärkt und widerstandsfähiger gegen Säureangriffe macht.
Symptome von Karies
Die Anzeichen von Karies hängen davon ab, wie weit die Erkrankung fortgeschritten ist:
- Frühes Stadium: Weiße oder bräunliche Flecken auf der Zahnoberfläche, die auf eine Entkalkung des Zahnschmelzes hindeuten. Diese Flecken sind oft die ersten Anzeichen von Karies auf den Zahnoberflächen.
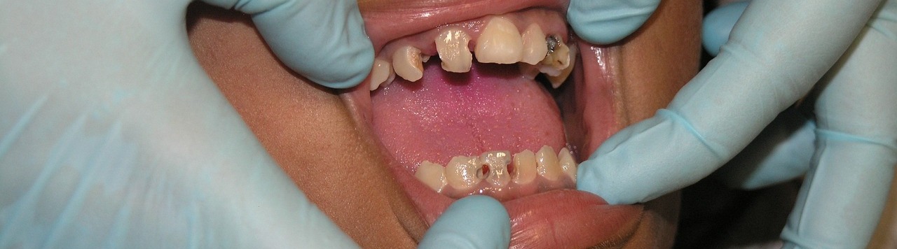
- Fortgeschrittenes Stadium: Schmerzen beim Kauen, Empfindlichkeit gegenüber kalten, heißen oder süßen Speisen und sichtbare Löcher im Zahn.
- Endstadium: Starke Zahnschmerzen, Schwellungen oder Abszesse, wenn die Infektion das Zahnmark erreicht hat.
Eine frühzeitige Diagnose ist entscheidend, um größere Schäden zu vermeiden.
Diagnose
Die Diagnose von Karies kann durch eine professionelle Zahnuntersuchung erfolgen. Der Zahnarzt kann Karies erkennen, indem er die Zähne mit einem kleinen Spiegel untersucht und nach Veränderungen an der Zahnoberfläche sucht. Weiße oder bräunliche Flecken können auf beginnende Karies hinweisen. Röntgenaufnahmen sind ein weiteres wichtiges Diagnosewerkzeug, da sie Karies sichtbar machen können, die sich zwischen den Zähnen oder unter der Zahnoberfläche befindet. Diese Aufnahmen helfen dem Zahnarzt, die Tiefe der Löcher zu bestimmen und den besten Behandlungsansatz zu wählen.
Wie können Sie Karies durch Zähneputzen vorbeugen?
Karies lässt sich mit einer konsequenten Zahnpflege und gesunden Gewohnheiten effektiv verhindern. Hier sind die wichtigsten Maßnahmen:
- Gründliche Zahnhygiene
- Putzen Sie Ihre Zähne mindestens zweimal täglich mit fluoridhaltiger Zahnpasta.
- Reinigen Sie die Zahnzwischenräume täglich mit Zahnseide oder Interdentalbürsten.
- Verwenden Sie eine antibakterielle Mundspülung, um Plaque-Bakterien zu reduzieren.
- Zuckerarme Ernährung
- Vermeiden Sie zuckerhaltige Snacks und Getränke, insbesondere zwischen den Mahlzeiten.
- Bevorzugen Sie ballaststoffreiche Lebensmittel, die die Speichelproduktion fördern und so die Zähne schützen.
- Fluorid verwenden
- Fluorid stärkt den Zahnschmelz und macht ihn widerstandsfähiger gegen Säureangriffe. Nutzen Sie fluoridhaltige Zahnpasta, Gele oder Mundspülungen.
- Regelmäßige Zahnarztbesuche
- Lassen Sie Ihre Zähne mindestens zweimal im Jahr von einem Zahnarzt kontrollieren und professionell reinigen.
- Eine frühzeitige Diagnose verhindert, dass Karies größeren Schaden anrichtet.
- Speichelfluss fördern
- Kauen Sie zuckerfreien Kaugummi, um den Speichelfluss anzuregen. Speichel neutralisiert Säuren und schützt so die Zähne.
Moderne Behandlungsmethoden bei Karies und Zahnschmelz
Wenn Karies bereits entstanden ist, gibt es verschiedene Behandlungsmöglichkeiten, abhängig vom Fortschritt der Erkrankung: Zahnkaries kann in verschiedenen Stadien auftreten, von der beginnenden Demineralisierung bis hin zu tiefen Schäden im Zahn.
- Fluoridierung (bei beginnender Karies)In den frühen Stadien kann eine Behandlung mit Fluorid den Zahnschmelz remineralisieren und die Karies stoppen.
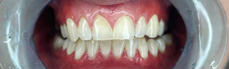
- FüllungenBei fortgeschrittener Karies wird das beschädigte Zahnmaterial entfernt und das entstandene Loch mit einer Füllung (z. B. aus Komposit oder Keramik) verschlossen.
- Inlays oder KronenWenn der Zahn stark geschädigt ist, kann er mit einem Inlay oder einer Krone rekonstruiert werden.
- WurzelbehandlungHat die Karies das Zahnmark erreicht, ist eine Wurzelbehandlung notwendig. Dabei wird das infizierte Gewebe entfernt und der Zahn von innen versiegelt.
- ZahnentfernungIn seltenen Fällen, wenn der Zahn nicht mehr zu retten ist, muss er entfernt werden. Ein Zahnersatz wie ein Implantat oder eine Brücke stellt dann die Funktion und Ästhetik wieder her.
Warum Karies und Zahnverlust nicht unterschätzt werden sollten

Karies ist mehr als nur ein kosmetisches Problem. Unbehandelte Karies kann zu starken Schmerzen, Zahnverlust und sogar schwerwiegenden Infektionen führen, die den gesamten Organismus belasten können.
Mit der richtigen Pflege, einer ausgewogenen Ernährung und regelmäßigen Zahnarztbesuchen können Sie jedoch viel dazu beitragen, Ihre Zähne gesund und stark zu halten – ein Leben lang.
Prognose und Ausblick
Die Prognose für Karies ist in der Regel gut, wenn die Erkrankung frühzeitig diagnostiziert und behandelt wird. Eine Füllung, eine Krone oder eine Wurzelkanalbehandlung können verwendet werden, um die Zahnoberfläche wiederherzustellen und die Erkrankung zu stoppen. Es ist jedoch wichtig, dass Menschen regelmäßig ihre Zähne putzen und eine gesunde Ernährung einhalten, um das Risiko für Karies zu minimieren. Durch konsequente Mundhygiene und regelmäßige Zahnarztbesuche können größere Schäden vermieden und die Zahngesundheit langfristig erhalten werden.
Fazit: Karies erfolgreich bekämpfen und vorbeugen
Karies ist eine vermeidbare Erkrankung, die jedoch ernst genommen werden sollte. Der Schlüssel zur Kariesprävention liegt in einer gründlichen Zahnpflege, einer zahngesunden Ernährung und regelmäßigen Besuchen beim Zahnarzt. Sollte dennoch eine Behandlung erforderlich sein, stehen heute moderne und schonende Methoden zur Verfügung, um Ihre Zahngesundheit zu erhalten.
Falls Sie Fragen haben oder Unterstützung bei der Pflege Ihrer Zähne benötigen, wenden Sie sich vertrauensvoll an Ihren Zahnarzt – Ihre Zähne werden es Ihnen danken!


